Smile Makeover: Case 1 - Gummy Smile in Arvada, CO
Description
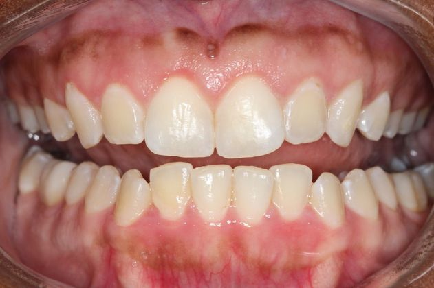
Smile makeovers may involve a combination of crowns, veneers, composite bonding, and gum recountouring (esthetic crown lengthening or gingivectomy). This patient came in dissatisfied with her gummy smile, she felt she looked like a child and was hesitant to smile. This patient has beautiful teeth. The shape and color are ideal, but they are buried by the gums. She had a new smile in one day. After we worked on her top teeth, she wanted her bottom ones to look longer as well. She didn't require surgery on the bottom teeth, just some laser recontouring. Now she looks her age and has a beautiful confident smile.





